當前位置:首頁>標簽>拔智齒后遺癥太多了,
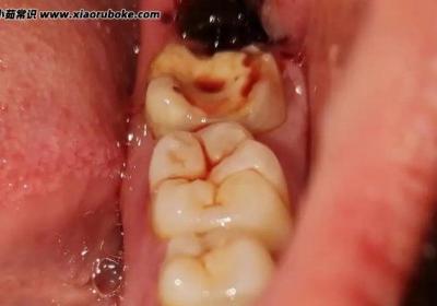
拔智齒后遺癥太多了,拔智齒有什么風險和后遺癥(拔牙水平很關鍵),拔智齒后遺癥太多了,,拔智齒有什么風險和后,遺癥(拔牙水平很關鍵,)...
生活中的人生感悟說說,字字千金,富含哲理!
圓明園十大稀世珍寶:圓明園獸首居首,隨便一件價值上億
國足下次正式比賽為2027年亞洲杯 邵佳一接手國家隊帥位
開拓者召回楊瀚森 明日戰湖人將歸隊
倪妮個人資料介紹照片及身高體重:因金陵十三釵爆紅(出道11年)
程曉玥鄭愷分手原因曝光,愛情長跑結束讓人惋惜
尊巴舞是什么?尊巴舞好學嗎?
劉海薄點好看還是厚好看 薄劉海和厚劉海的區別
避免感情對自己的影響,特別無情的三個星座
讓人又恨又愛的星座,信任背后的真相
揭秘!欠下情債最多的星座
Copyright ? 2024 有趣生活 All Rights Reserve吉ICP備19000289號-5 TXT地圖HTML地圖XML地圖